CARDIOLOGÍA
En Repromedic, nos comprometemos a proporcionar atención integral y especializada para la salud cardiovascular. Nuestro equipo de cardiólogos altamente capacitados ofrece una amplia gama de servicios, desde evaluaciones de riesgo cardiovascular hasta pruebas diagnósticas avanzadas, como ecocardiogramas y pruebas de esfuerzo.
Además, brindamos tratamiento para enfermedades cardíacas, incluyendo manejo de hipertensión, enfermedad coronaria y insuficiencia cardíaca. Contamos con instalaciones equipadas con tecnología de última generación para intervenciones como cateterismos y angioplastias
ESPECIALIDADES
- CONSULTA ESPECIALIZADA
- RIESGO QUIRURGICO
- MAPEO
CIRUGIA CARDIOVASCULAR Y PERISFÉRICA
Es el tratamiento quirúrgico de las enfermedades que afectan el tórax, pulmones, corazón y vasos periféricos (arterias y venas).
Doctor Paulo César Huachalla Coronel
El Dr. Paulo Huachalla es el jefe de nuestro servicio de Cirugía Torácica y Cardiovascular. Se trata de un cirujano especialista con amplia experiencia en cirugía de tórax y cirugía vascular.
Además, está especializado en el tratamiento quirúrgico para várices y úlceras varicosas, así como en la cirugía de tratamiento para hiperhidrosis (sudoración excesiva).

Descarte y tratamiento de várices
El tratamiento oportuno de las várices, así como la detección de su origen son importantes para evitar complicaciones como las úlceras o incluso la muerte. Las varices son una alteración del retorno venoso o circulación de la sangre de vuelta al corazón desde las piernas, como consecuencia las ventas se dilatan y ensanchan produciendo síntomas como: Pesadez, cansancio, hinchazón y dolor en las piernas
Escleroterapia para várices
El tratamiento de várices a través de la escleroterapia sirve para mejorar la estética y apariencia de las piernas aliviando los síntomas de las várices (dolor, quemazón, hinchazón y calambres).
Cada tratamiento usualmente elimina entre 50% y 80% de las venas inyectadas.
MUY IMPORTANTE: No todas las várices tienen indicación de escleroterapia, algunos casos requieren cirugía u otro tratamiento complementario. La ecografía doppler venosa y la evaluación del especialista son importantes para determinar la gravedad y el tratamiento a seguir


Cirugía de várices con LÁSER o radiofrecuencia
La cirugía de várices con láser o radiofrecuencia es un procedimiento mínimamente invasivo, novedoso y efectivo.
Los pacientes tratados con cirugía láser para várices han experimentado buenos resultados y rápida recuperación. Este tipo de cirugía es AMBULATORIA.
Ecografía doppler venoso con mapeo para várices
La ecografía doppler para várices es una técnica anatómica y funcional que permite valorar la anatomía de las venas como las características del flujo en cuanto a velocidad y forma, permitiendo conocer alteraciones en la circulación venosa periférica y descartar las VÁRICES Y LA TROMBOSIS VENOSA PROFUNDA.
IMPORTANTE: La ecografía doppler es necesaria para tener un diagnóstico correcto de las causas de las várices y dar un tratamiento adecuado.


Tratamiento médico especializado para enfermedad arterial
La enfermedad vascular periférica es una señal de la acumulación de depósitos de grasa y calcio en las paredes de las arterias (aterosclerosis). Los factores de riesgo son la edad, la diabetes y el tabaquismo.
Los síntomas pueden incluir dolor en las piernas, especialmente al caminar. Dejar de consumir tabaco, hacer ejercicio y seguir una dieta saludable suelen ser tratamientos exitosos. Si estos cambios no son suficientes, los medicamentos y la cirugía pueden ayudar.
CIRUGÍA PARA ENFERMEDAD ARTERIAL
Cirugía de Bypass Arterial
Es la técnica quirúrgica que MEJORA la circulación sanguínea arterial. Consiste en la derivación de la sangre mediante un injerto de una arteria obstruida que de no tratarse a tiempo puede terminar en GANGRENA con AMPUTACIONES INNECESARIAS.
Angioplastia de miembros inferiores
Angioplastias y salvataje de pie diabético: Es un procedimiento endovascular para abrir arterias obstruidas que dificultan el paso total o parcial de la sangre arterial hacia los pies. No tratarlas a tiempo puede terminar en GANGRENA y AMPUTACIONES INNECESARIAS


Curaciones de úlceras arteriales en pie diabético
La diabetes puede dar lugar a la aparición de lesiones cutáneas y úlceras en el 25% de los pacientes, esto se debe a la afección de la enfermedad diabética sobre las ARTERIAS, NERVIOS y TEJIDO EPITELEAL.
Realizamos curaciones especializadas en este tipo de heridas y úlceras.
Ecografía doppler arterial
Sirve para examinar el flujo sanguíneo en las arterias grandes de brazo y piernas. La ecografía doppler es muy importante para descartar INSUFICIENCIA ARTERIAL.
IMPORTANTE: Todo paciente con diabetes mellitus, pie diabético y/o fumadore crónicos debe de realizar la ecografía dopper arterial para descartar el tipo de insuficiencia arterial y recibir un buen tratamiento médico o quirúrgico.


Arteriografía de miembros inferiores
Es un estudio invasivo, en el se introduce un catéter por una arteria para inyectar la sustancia de contraste que lo hace visible en los rayos X. Sirve para diagnosticar con EXACTITUD las obstrucciones en las arterias y definir su TRATAMIENTO.
Creación de fístula arteriovenosa para hemodiálisis
También llamada FAV, es una conexión quirúrgica de una arteria directamente a una vena. Esto se hace generalmente en aquellos pacientes que necesitan hemodiálisis, previa realización de una ECOGRAFIA DOPPLER PARA CREACION DE FAV

Añade aquí tu texto de cabecera
Tratamiento quirúrgico para sudoración excesiva en manos, pies y axilas
Tratamiento para la sudoración excesiva también llamada HIPERHIDROSIS, que se presenta en las MANOS, PIES y AXILAS por fallo del sistema nervioso simpático produciendo una estimulación exagerada de las glándulas sudoríparas.
La SIMPATECTOMIA TORÁCICA es el tratamiento quirúrgico adecuado para esta enfermedad ya que termina con la sudoración de manera definitiva en mas del 95% de los casos. El procedimiento se efectúa por VIDEOTORACOSCOPIA (VATS) con 2 pequeñas incisiones en las axilas bajo anestesia general.
La RECUPERACIÓN es rápida, habitualmente se encuentra en condiciones de alta hospitalaria entre las 12 y 24 horas


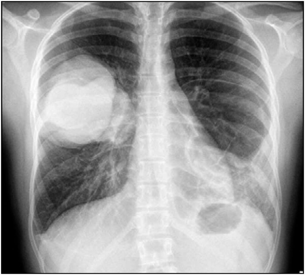
Cirugía para quiste hidatídico pulmonar:
Este quiste es causado por un parásito (EQUINOCOCUS) que se puede localizar en los pulmones o el hígado. Inicialmente no presenta síntomas, pero a medida que crece el afectado sentirá dolor en el tórax, dificultad para respirar y expulsión brusca de líquido salado por la boca (VOMICA).
La enfermedad es transmitida por la crianza de animales no desparasitados y su mayor incidencia está en las provincias de: HUANCAYO, HUANCAVELICA, CERRO DE PASCO, JUNÍN, AYACUCHO, HUÁNUCO. EL TRATAMIENTO DE ESTA ENFERMEDAD ES QUIRÚRGICO
Cirugía para aspergiloma pulmonar:
El aspergiloma es un tumor (bola fúngica) que se desarrolla en una zona de enfermedad pulmonar o cicatrización pulmonar previa tal como como: tuberculosis o un absceso pulmonar. La aspergilosis pulmonar de tipo invasivo es una infección grave con neumonía y se puede diseminar a otras partes del cuerpo.
EL TRATAMIENTO DE ESTA ENFERMEDAD ES QUIRÚRGICO EXTIRPANDO EL ASPERGILOMA Y LA RESECCIÓN PULMONAR COMPROMETIDA.


Cirugía para bronquiectasia:
La bronquiectasia es una enfermedad que daña las vías respiratorias mayores de los pulmones produciendo ensanchamiento permanente. Se pueden presentar al momento del nacimiento, en la infancia o desarrollarse mas adelante en la vida. El tratamiento es usualmente QUIRÚRGICO cuando se presentan exacerbaciones infecciosas frecuentes y hemoptisis que no responden al manejo médico.
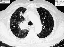
Cirugía para bullas pulmonares y neumotórax espontáneo por VATS:
Es la presencia de aire en el espacio pleural que causa colapso pulmonar parcial o total por la rotura de una bulla subpleural. Esta patología se da en pacientes jóvenes fumadores sin una enfermedad pulmonar subyacente.
Los pacientes que con neumotórax espontáneo pueden complicarse con un NEUMOTORAX HIPERTENSIVO terminando en paro cardiorrespiratorio y la muerte, por eso es importante su diagnóstico y la colocación de una DRENAJE DE TORAX. LA CIRUGIA CONSISTE EN LA EXTIRPACION DE LAS BULLAS POR CIRUGÍA MÍNIMAMENTE INVASIVA (VATS).

GASTROENTEROLOGÍA
En Repromedic, contamos con un equipo altamente especializado de gastroenterólogos comprometido con brindar atención integral y personalizada para mantener la salud gastrointestinal de nuestros pacientes.
SERVICIOS
- Evaluación y Diagnóstico Preciso Nuestros gastroenterólogos cuentan con una amplia experiencia en la evaluación de trastornos gastrointestinales. Utilizamos tecnologías avanzadas, como endoscopias y estudios radiológicos, para garantizar un diagnóstico preciso.
- Tratamientos Personalizados Diseñamos planes de tratamiento personalizados para abordar una variedad de condiciones gastrointestinales, desde enfermedades digestivas comunes hasta casos más complejos. Nos esforzamos por proporcionar opciones de tratamiento que se adapten a las necesidades y preferencias individuales de cada paciente.
- Manejo de Enfermedades Digestivas Crónicas Nos especializamos en el manejo de enfermedades digestivas crónicas como la enfermedad inflamatoria intestinal, enfermedad celíaca, enfermedad de Crohn y colitis ulcerosa. Trabajamos de la mano con nuestros pacientes para mejorar su calidad de vida y reducir los síntomas
- Prevención y Detección Temprana Promovemos la prevención y la detección temprana de condiciones gastrointestinales mediante programas de detección de cáncer colorrectal y educación sobre hábitos de vida saludables
- Atención Integral Nuestro enfoque integral aborda no solo los síntomas, sino también las causas subyacentes de los problemas gastrointestinales. Trabajamos en colaboración con otros especialistas médicos para garantizar una atención completa y coordinada.
GINECOLOGÍA
Nuestra misión es satisfacer las necesidades de salud integral de la mujer en el área de Ginecología y Obstetricia. Esta es la especialidad médica y quirúrgica que se ocupa del diagnóstico y tratamiento de las enfermedades del sistema reproductor femenino.
DR. RAÚL PALOMINO BEJAR
El Dr. Raúl Felipe Palomino Bejar es médico gineco obstetra con más de 30 años de servicio. Actualmente, se encuentra en primera línea atendiendo pacientes con el profesionalismo y la amabilidad que lo caracteriza.

GINECOLOGÍA
- Consulta ginecológica especializada
- Ecografía transvaginal
- Frotis cervical
- Colposcopia Vaginal
- Toma de Papanicolau
OBSTETRICIA
- Consulta obstétrica especializada
- Ecografía obstétrica especializada, según el trimestre.


FERTILIDAD
- Consulta especializada
- Ecografía transvaginal
- Evaluación de los órganos: útero, trompas y ovarios
- Perfil hormonal y espermatograma
PLANIFICACIÓN FAMILIAR
- Consulta ginecológica especializada
- Ecografía transvaginal
- Evaluación de los órganos: útero, trompas y ovarios
- Perfil hormonal y espermatograma


MENOPÁUSICO
- Papanicolaou
- Frotis cervico vaginal
- Ecografía transvaginal
- Ecografia de mamas bilateral
- Colposcopia
- Consulta ginecológica especializada

CHEQUEO OBSTÉTRICO I TRIMESTRE
ECOGRAFIA PRECOZ: Mediante la detección temprana de la gestación, a partir de 4 sem. Se evalúa la viabilidad embrionaria en amenazas de aborto o con patología ovular.
ECOGRAFIA GENETICA DOPPLER (entre las 11 y 13 sem 6 días): Se realiza la evaluación de marcadores de alteraciones cromosómicas.
CHEQUEO OBSTÉTRICO II TRIMESTRE
ECOGRAFÍA DOPPLER DE ART UTERINAS (Entre las 20-24 sem): Se realiza un screening precoz de pronóstico de enfermedad hipertensiva o de restricción fetal intraútero al evaluar con doppler las arterias uterinas maternas.
ECOGRAFIA MORFOLÓGICA (entre las 20-24 sem): Mediante esta evaluación minuciosa y sistemática de detectara alteraciones en el desarrollo de órganos y sistemas en el feto. Determinación del sexo del feto .


CHEQUEO OBSTÉTRICO III TRIMESTRE
ECOGRAFÍAS OBSTETRICAS: Evaluamos el desarrollo y crecimiento del feto, presentación del feto.
PERFIL BIOFICO FETAL (a partir de 28 sem): Evaluación de bienestar fetal a través de parámetros ecográficos

CONSULTA DE INFERTILIDAD
Consulta de infertilidad – Ecografía transvaginal – Dosaje de hormona folículo estimulante – Prolactina – Perfil tiroideo en el 3er día de menstruación
La esterilidad es debido a un 40% a la mujer, un 40% al varón y 20% a ambos. La convivencia con relaciones sexuales sin protección por más de un año sin gestación es la regla para el diagnóstico de pareja infértil. Sin embargo si la Mujer tiene > o = de 35 años este periodo de tiempo no se debe esperar. En la actualidad la infertilidad es un problema que aqueja alrededor del 15% a 20% de parejas en edad reproductiva.
Con el chequeo de Pareja Infértil se investigará de manera exhaustiva y en un primer momento todas las enfermedades no ginecológicas que la mujer pueda padecer y que están repercutiendo en su fertilidad como hiperprolactinemia, alteración de las hormonas tiroideas, obesidad, diabetes, etc. En un segundo momento nos abocaremos a las patologías ginecológicas que afectan directamente la fertilidad de la mujer, para ello contamos con una serie de exámenes de ayuda como la especuloscopía que nos permitirá evaluar la normalidad o no de la vagina y el cérvix, encontrando muchas veces tabiques, infecciones crónicas, verrugas, pólipos o malformaciones congénitas entre otras.
Otro examen de vital ayuda es la ecografía transvaginal, el cual es una ventana para evaluar en el acto toda la anatomía ginecológica interna y poder diagnosticar rápidamente múltiples alteraciones en la misma; que afecten su fertilidad. Aquí podemos evaluar de manera clara el útero, el endometrio, los ovarios y no solamente su anatomía, sino además su funcionalidad en relación con el medio hormonal. Este examen es fundamental donde podemos diagnosticar fácilmente quistes ováricos como endometriomas, miomas submucosos, pólipos endometriales, entre otros que afectan directamente la fertilidad de la Mujer
Añade aquí tu texto de cabecera
REPRODUCCIÓN ASISTIDA DE BAJA COMPLEJIDAD
De acuerdo a evaluación en la consulta de fertilidad, muchas parejas podrían beneficiarse de la Reproducción Asistida de Baja complejidad.
La Técnicas de Reproducción Asistida de Baja Complejidad constan de: Inducción de Ovulación más Coito Programado y/o la Inseminación Intrauterina (IIU). Ambas son técnicas poco costosas y de bajo riesgo para las parejas que las requieren.
OVOINDUCCIÓN Y COITO PROGRAMADO.
Normalmente las mujeres ovulan 1 ovocito por cada mes o no ovulan si tiene alguna patología como ovario poliquístico o hiperprolactinemia por ejemplo; en este tratamiento se promueve que ovulen 2 o 3 ovocitos, así tendríamos más posibilidades de que los espermatozoides fertilicen a uno o dos ovocitos, esto se induce con fármacos que estimulan e inducen una ovulación y nos permite que mediante una monitorización ecográfica se defina qué día la paciente va a ovular y por lo tanto fijar las fechas para que tenga relaciones sexuales con su pareja o programar la Inseminación Intrauterina
INSEMINACIÓN INTRAUTERINA (IIU).
Nos referimos a la IIU cuando realizamos un depósito de espermatozoides previamente capacitado (mayor capacidad fecundante), por medio de un catéter, en la cavidad uterina de la mujer con el fin de conseguir gestación.
Para realizar esta técnica se utiliza el semen del esposo o semen de donante del banco de gametos, si el varón no tiene espermatozoides (azoospermia) o el semen es de muy mala calidad


REPRODUCCIÓN ASISTIDADE ALTA COMPLEJIDAD
Una vez realizada su consulta de fertilidad, su médico tratante le indicará si es necesario usar técnicas de reproducción asistida de alta complejidad.
Las técnicas de reproducción asistida de alta complejidad son varias y han ido apareciendo en relación al advenimiento de nuevas tecnologías que permitieron mejorar las tasas de éxito de embarazo e hijo vivo en casa, así como sortear limitaciones con la técnicas ya establecidas. En los años 70 los Drs. Edwars (fisiólogo) y Steptoe (ginecólogo) lograron el primer bebe fecundado en el laboratorio, éste transferido a la madre, progresó en un embarazo normal y dio a luz el 25 de Julio de 1978 a Louise Brown, una bebe sana con desenvolvimiento normal en la vida y que además tiene un hijo concebido y nacido de manera natural. Desde este primer acontecimiento se generalizó a nivel mundial la práctica de la Fertilización In Vitro desde 1980 y al momento hay casi cinco millones de bebes en el mundo nacidos mediante Fertilización in Vitro (FIV).
Las Técnicas de Reproducción Asistida de Alta Complejidad comprenden:
- Fertilización In Vitro (FIV).
- Inyección Intracitoplasmática de Espermatozoides (ICSI).
- Eclosión Asistida del Blastocisto (Hatching).
- Transferencia Intratubárica de Gametos (GIFT).
- Transferencia Intratubárica de Zigotos (ZIFT).
- Inyección Intracitoplasmática de Espermatozoides Morfológicamente seleccionados (IMSI)
Neumología
En Repromedic nos dedicamos a brindar atención especializada para la salud pulmonar y respiratoria. Nuestro equipo de neumólogos altamente capacitados y experimentados está comprometido con la excelencia en el diagnóstico, tratamiento y prevención de enfermedades respiratorias.
Servicios
- Diagnóstico Preciso
- Tratamiento Personalizado
- Manejo Integral de Enfermedades Respiratorias
- Consulta Especializada
Nutrición
Entendemos la importancia vital que la nutrición desempeña en la salud general y el bienestar de nuestros pacientes. Nuestro equipo de expertos en nutrición se compromete a ofrecer servicios personalizados y soluciones integrales para mejorar la calidad de vida de nuestros clientes.
Nuestros nutricionistas altamente capacitados realizan evaluaciones exhaustivas para comprender las necesidades únicas de cada individuo. A través de análisis detallados, se elaboran planes nutricionales adaptados a objetivos específicos, considerando factores como el estado de salud actual, preferencias alimenticias y estilo de vida.
Pediatría y Neonatología
En Repromedic comprendemos la importancia crucial de la salud y el bienestar de los más pequeños. Nuestro equipo de profesionales altamente capacitados en pediatría y neonatología está dedicado a proporcionar un cuidado integral y personalizado desde el nacimiento hasta la adolescencia.
Servicios:
Niños Felices, Familias Saludables: Nuestro equipo de pediatras se centra en ofrecer atención médica de calidad que promueva el desarrollo saludable de los niños. Desde exámenes regulares hasta el tratamiento de enfermedades pediátricas comunes, estamos comprometidos con el bienestar de sus hijos.
Vacunación y Prevención: Mantener a los niños protegidos contra enfermedades prevenibles es una de nuestras principales prioridades. Ofrecemos un programa completo de vacunación y asesoramiento sobre medidas preventivas para garantizar la salud a largo plazo.
Desarrollo y Crecimiento: Monitoreamos de cerca el desarrollo físico y emocional de sus hijos, brindando orientación a los padres sobre el crecimiento saludable y proporcionando intervenciones tempranas cuando sea necesario.
Psicología
Entendemos que la salud mental es un componente integral de nuestro bienestar general. Nuestro equipo de psicólogos altamente capacitados están dedicados a proporcionar servicios de salud mental de calidad, ayudando a nuestros pacientes a enfrentar y superar los desafíos emocionales y psicológicos.
Servicios:
Evaluación Integral:
Nuestros psicólogos realizan evaluaciones exhaustivas para comprender las necesidades y circunstancias individuales de cada paciente. Esto nos permite desarrollar planes de tratamiento personalizados que aborden sus preocupaciones específicas.
Terapia Individual
Ofrecemos sesiones de terapia individual para proporcionar un espacio seguro y confidencial donde los pacientes pueden explorar sus pensamientos, sentimientos y comportamientos. Nuestros psicólogos utilizan enfoques basados en la evidencia para ayudar a los individuos a superar desafíos y mejorar su bienestar emocional.
Terapia de Pareja y Familia:
Comprendemos la importancia de las relaciones en la salud mental. Ofrecemos terapia de pareja y familiar para abordar conflictos, mejorar la comunicación y fortalecer las conexiones emocionales.
Tratamiento de Problemas Específicos:
Nuestro equipo está capacitado para abordar una variedad de problemas, como ansiedad, depresión, trastornos del estado de ánimo, estrés postraumático, trastornos de la alimentación y mucho más.
Traumatología y Ortopedia
En Repromedic ofrecemos atención especializada de la más alta calidad para el diagnóstico, tratamiento y rehabilitación de condiciones musculoesqueléticas. Nuestro equipo de expertos en traumatología y ortopedia está comprometido con su bienestar, utilizando enfoques vanguardistas y tecnologías avanzadas para brindarle la mejor atención posible.
Nuestros Servicios
- Diagnóstico Preciso
- Tratamiento Integral
- Cirugía Ortopédica Avanzada
- Rehabilitación Especializada
- Atención Personalizada







